UK TimesUK Times
  • Home
  • News
  • TV & Showbiz
  • Money
  • Health
  • Science
  • Sports
  • Travel
  • More
    • Web Stories
    • Trending
    • Press Release
What's Hot

M62 westbound within J32 | Westbound | Road Works

20 October 2025

Supreme Court to review law used to convict Hunter Biden after Trump administration request – UK Times

20 October 2025

A21 northbound between A2100 near Battle (south) and A28 | Northbound | Road Works

20 October 2025
Facebook X (Twitter) Instagram
Facebook X (Twitter) Instagram
UK TimesUK Times
Subscribe
  • Home
  • News
  • TV & Showbiz
  • Money
  • Health
  • Science
  • Sports
  • Travel
  • More
    • Web Stories
    • Trending
    • Press Release
UK TimesUK Times
Home » Woman who lost vision can read again after ‘life-changing’ clinical trial – UK Times
News

Woman who lost vision can read again after ‘life-changing’ clinical trial – UK Times

By uk-times.com20 October 2025No Comments5 Mins Read
Facebook Twitter LinkedIn Telegram Pinterest Tumblr Reddit WhatsApp Email
Share
Facebook Twitter LinkedIn Pinterest Email

Sign up for our free Health Check email to receive exclusive analysis on the week in health

Get our free Health Check email

Get our free Health Check email

Health Check

A woman who described herself as an “avid bookworm” before losing her sight is able to read again after taking part in a world-first study.

Sheila Irvine, from Wiltshire, was one of 38 patients in five countries to be included in a clinical trial to test the 2mm x 2mm bionic eye implant, Prima.

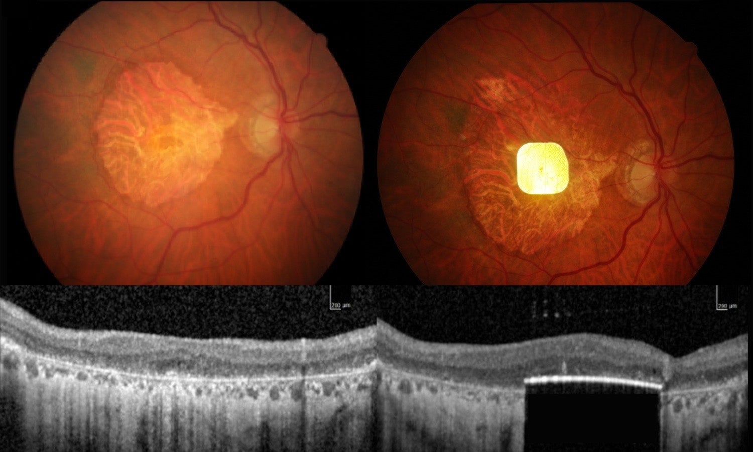
The device is designed to help those with geographic atrophy (GA), an advanced stage of dry age-related macular degeneration (AMD), to read and write again using so-called “prosthetic vision”.

During the trial, a chip was fitted under the layer of light-sensitive tissue in the eye called the retina. To see words and write, patients wear augmented-reality glasses with a video camera, which the chip uses to beam information to a pocket computer.

Artificial intelligence in the computer processes the information into an electrical signal that is sent to the optic nerve and to the brain. A zoom feature can even magnify letters.

The procedures took place at Moorfields Eye Hospital in London around three years ago.

Prima has enabled people to read and write again

Prima has enabled people to read and write again (Moorfields Eye Hospital)

The chip was activated about a month after the operation, with patients then undergoing intense rehabilitation to help them interpret the signals and learn to read again.

Ms Irvine said she took part in the trial to help people in the future, and can now read her prescriptions, do crosswords and read the ingredients on tins.

“I wanted to take part in research to help future generations, and my optician suggested I get in touch with Moorfields,” she said.

“Before receiving the implant, it was like having two black discs in my eyes, with the outside distorted.

Sheila Irvine undergoes training after having the pioneering eye implant

Sheila Irvine undergoes training after having the pioneering eye implant (Moorfields Eye Hospital)

“I was an avid bookworm, and I wanted that back.”

Ms Irvine said she felt no pain during the operation, which took place in 2022.

“I was nervous, excited, all those things,” she added. “There was no pain during the operation, but you’re well aware of what’s happening.

“It’s a new way of looking through your eyes, and it was dead exciting when I began seeing a letter. It’s not simple learning to read again, but the more hours you put in, the more I pick up.”

‘I was an avid bookworm, and I wanted that back,’ says Irvine

‘I was an avid bookworm, and I wanted that back,’ says Irvine (Moorfields Eye Hospital)

Ms Irvine is now enjoying challenging herself with reading.

“The team at Moorfields have given me challenges, like ‘look at your prescription,’ which is always tiny,” she said.

“I like challenging myself, trying to look at the little writing on tins, doing crosswords.

“It’s made a big difference. Reading takes you into another world. I’m definitely more optimistic.”

Ms Irvine was diagnosed with AMD more than 15 years ago, but says she has not let the condition stop her from living her life.

The device electronically bypasses the retina to send visual signals directly to the brain via the optical nerve

The device electronically bypasses the retina to send visual signals directly to the brain via the optical nerve (Moorfields Eye Hospital)

She said: “At first, I noticed I couldn’t judge things when I was driving – I kept hitting the pavement. I was told I had age-related macular degeneration.

“I cried all day long when I sent my driving licence back over 15 years ago, but then I said to myself, ‘move on and get on with things’.

“I can’t see TV very well, but I still have it on in the background. I don’t let anything stop me. I’ve got lots of friends, and I socialise quite a bit; we catch up at the pub.

“And this country is wonderful – I get lots of assistance with transport, I still live by myself and want to stay independent.”

AMD causes changes to the macula, the central part of the retina, which plays a key role in sight. While GA, which affects about five million people globally, can progress to full sight loss as the central macula melts away.

Experts estimate that around one in four people who are legally blind in the UK have GA from AMD.

The developers of Prima, a US-based medtech company Science Corporation, are now working to secure regulatory approval for the device.

Mahi Muqit, senior vitreoretinal consultant at Moorfields Eye Hospital and the UCL Institute of Ophthalmology, said he is hopeful this “life-changing” technology could one day be available on the NHS.

The developers of Prima are working to secure regulatory approval for the device

The developers of Prima are working to secure regulatory approval for the device (Moorfields Eye Hospital)

“I would have to say, it’s a whole paradigm shift,” he said. “You talk to surgeons in the UK that I’m colleagues with, and they’re all very excited by this particular technology.

“You know that this technology will be scalable.”

He added: “These are elderly patients who were no longer able to read, write or recognise faces due to lost vision. They couldn’t even see the vision chart before. They’ve gone from being in darkness to being able to start using their vision again, and studies have shown that reading is one of the things patients with progressive vision loss miss most.”

The findings, published in The New England Journal of Medicine, suggest 84 per cent of patients on the trial were able to read letters, numbers and words while using Prima, and on average, could read five lines on a vision chart – before the device was fitted, some could not even see the chart.

Share. Facebook Twitter Pinterest LinkedIn Tumblr Telegram Email

Related News

M62 westbound within J32 | Westbound | Road Works

20 October 2025

Supreme Court to review law used to convict Hunter Biden after Trump administration request – UK Times

20 October 2025

A21 northbound between A2100 near Battle (south) and A28 | Northbound | Road Works

20 October 2025

Folk legend Kenny Loggins shreds Trump for using his song in bizarre AI poop bomb video – UK Times

20 October 2025

A1(M) southbound between J56 and J53 | Southbound | Road Works

20 October 2025

A50 eastbound between A515 near Sudbury (east) and A511 | Eastbound | Road Works

20 October 2025
Top News

M62 westbound within J32 | Westbound | Road Works

20 October 2025

Supreme Court to review law used to convict Hunter Biden after Trump administration request – UK Times

20 October 2025

A21 northbound between A2100 near Battle (south) and A28 | Northbound | Road Works

20 October 2025

Subscribe to Updates

Get the latest UK news and updates directly to your inbox.

© 2025 UK Times. All Rights Reserved.
  • Privacy Policy
  • Terms of use
  • Advertise
  • Contact Us

Type above and press Enter to search. Press Esc to cancel.

Go to mobile version